病例介绍
✦主诉:患者林XX,女,35岁。因“孕36周,发现胎盘位置异常3月”于2023-11-01 10:24:38入院。
✦现病史:患者平素月经规则,6-7天/25天,量中等,轻度痛经。末次月经2023-02-22,预产期2023-11-29,停经40+天自测尿HCG阳性,孕6+周建卡;有产前宣教,定期产前检查,未行唐氏筛查,行无创胎儿染色体检查低风险,OGTT试验未见异常;患者孕24+周于外院产检。患者外院行四维彩超示:胎盘下缘接近宫颈内口。孕34周当地医院建议转至我院产检,行产科彩超示:中央型前置胎盘伴胎盘植入(胎盘下缘覆盖宫颈内口,子宫下段前壁肌层菲薄,CDFI:局部见点状血流信号);进一步完善胎盘MRI示:中央型前置胎盘,左侧壁局部胎盘植入可能。患者于孕36周,因“凶险性前置胎盘”建议住院待产,门诊拟"凶险性前置胎盘伴植入、妊娠合并子宫瘢痕、横位、孕36周G2P1"收住入院。孕晚期无头昏、眼花,无心慌、胸闷,无下肢皮肤瘙痒,双下肢无水肿。
✦专科情况:宫高33cm,腹围93cm,胎心132次/分,宫缩无。先露肩,胎膜未破。未内检。估计胎儿大小:3000g。
✦辅助检查:
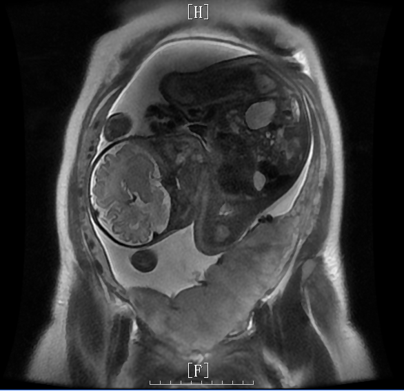
2023-10-23,我院胎盘MRI:晚孕;中央型前置胎盘,左侧壁局部胎盘植入可能(宫腔内见胎儿影,横位,胎盘位于子宫前壁、左壁、后壁,矢状位示宫颈内口后缘被完全覆盖,冠状位及横断位示胎盘左侧壁见局限性凸起,局部子宫肌层菲薄。宫颈未见明显异常信号。盆腔内未见软组织肿块或积液影。


2023-11-1,入院后查产科彩超:宫内晚孕、单活胎、横位、前置胎盘伴胎盘植入、边缘性脐带入口、胎儿脐带绕颈一周、羊水多(双顶径约96mm,股骨长约67mm),胎心率:142次/分。胎盘附着于子宫前后壁及左侧壁,厚约45mm,成熟度:II级。脐带胎盘入口位于胎盘右侧缘边缘处。胎盘下缘覆盖宫颈内口,子宫下段前壁肌层菲薄,CDFI:局部见点条状血流信号。羊水指数235mm。脐动脉S/D=2.2(31W后<3为正常)。
✦入院诊断:凶险性前置胎盘伴植入、妊娠合并子宫瘢痕、横位、孕36周G2P1。
✦术中情况:于2023.11.3在全麻下行子宫下段剖宫产术+宫颈切开成形术+胎盘植入面切除术+宫颈提拉式缝合术+子宫成形术。术中见膀胱片状粘连于子宫下段,下推膀胱后见子宫下段形成尚可,子宫前壁及下段表面血管迂曲怒张,呈紫蓝色,面积约10*9cm2,避开胎盘附着部位,于子宫下段做弧形长约10cm切口,刺破羊膜囊,见羊水清,量约1600ml,以LScA位托头助娩一活男婴,重3000g,评分9-10分。见胎盘自左前壁完全覆盖宫颈内口,分离下推膀胱,分离阔韧带前后叶,两根20号引流管分别环扎宫颈内口及外口止血,徒手剥离胎盘时见胎盘植入前壁及子宫下段并穿透至浆膜层,下缘达宫颈外口,植入面积约10*9cm2;遂行植入面子宫前壁部分切开至宫颈外口,后行宫颈提拉式缝合,查子宫下段无明显活动性出血,常规缝合子宫切口,行子宫成形术,取部分胎盘植入面组织送术后病理,探查双附件无异常,手术顺利,术中出血约1500ml,术中输红细胞4.5单位,血浆500ml,尿管畅,色淡红,量约200ml,术后安返,予以补液促进宫缩抗感染对症处理。
✦术后诊断:
1.凶险性前置胎盘;
2.产后出血;
3.肩先露(横位);
4.妊娠合并子宫瘢痕;
5.孕36周+2天;
6.孕2次;
7.产2次;
8.早产儿。
✦术前术后血红蛋白的改变:




✦术后转归:术后第5天产妇及新生儿顺利出院。
专家简介
李青 教授
妇产科科主任,医学博士,教授,主任医师,安徽医科大学硕士生导师
►安徽省女性生殖整复专业委员会主任委员,中国整形美容协会盆底功能障碍性疾病物理康复专委会常委,安徽省微创医学会妇产科专业委员会常委,安徽省生殖与遗传专业委员会常委,安徽省医学会生殖医学分会委员,安徽省医学会妇科肿瘤分会委员,安庆市妇产科医疗质量控制中心主任,安庆市产前筛查中心主任、安庆市围产医学协作组副组长,安徽医药编委、审稿专家。
►主持省级课题2项,市级课题1项,参与国自然基金面上项目2项,发表论文30余篇。
►擅长妇产科各种常见病及疑难病的诊治,尤其擅长妇科恶性肿瘤手术、妇科腔镜手术、盆底重建手术以及产科急、危、重症患者的救治。
责编:liu
